祝早日康复!
脑水肿注意事项回答者:whaik这个情况必须注意积极的降颅内压的.同时注意必要清淡饮食调理.
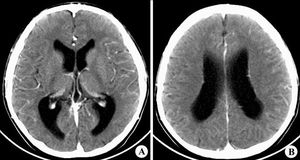
颅骨骨折,脑出血,脑水肿病人的术后恢复?回答者:姚宇军现在的情况处于恢复期,但是不算苏醒,苏醒的标志是神志清醒。1..勤拍背,预防坠积性肺炎,勤翻身,或下身垫气垫,预防褥疮。 勤活动下肢,防止下肢静脉血栓,肺栓塞。2. 进行四肢的按摩,避免肌肉萎缩3.如果有尿管保留,要定时开放,超过三天要每天冲洗膀胱,避免泌尿系感染
脑水肿能否引起呕吐,咳嗽。
颅外伤引起的脑水肿回答者:姚新太您好;建议积极治疗原发病,同时对症治疗,必要时白蛋白治疗
脑水肿,脑有一点血块引起的嘴歪严重吗回答者:吕丁锁这种情况考虑问题不算严重,建议积极配合主治大夫保守治疗。
肺癌转移现为脑水肿有何中药治疗?回答者:苏振超你好,建议住院观察,遵医嘱治疗目前
缺血缺氧性脑水肿回答者:范伟婷你好,这种情况建议先营养脑细胞治疗三个疗程看看再说吧。

首先要抗水肿治疗,可静脉点滴甘露醇和利尿剂利尿,同时限制液体的输入量,以免加重水肿,一般昏迷病人不能进食者,每天需要的生理需求量为2000-2500ml左右,若是发烧及有伤口渗出则要加上损耗量.您说的病人的意志力越来越弱是怎么回事呢,是说他的生命体征包括心率血压脉搏和体温四项不正常了是吗?脑损伤过了脑水肿这一危险期后病情可能会好转一些,也有希望苏醒,所以您们不用太担心,配合好医生的治疗,然后注意以下的护理工作让病人脱落危险期就好了:昏迷容易引起合并症使病情加重,甚至成为病人死亡的原因.1,预防吸入性肺炎吸入性肺炎是一种严重的并发症,常表现为发热,呼吸困难,紫绀等.护理时注意:(1)昏迷病人尤其有颅内压增高,呕吐者,头要偏向一侧,以便口腔内的分泌物顺口角向外引流,可防止分泌物吸入呼吸道造成吸入性肺炎.(2)做好口腔护理,保持口腔清洁,减少口腔常居菌的的密度.(3)病情稳定后,可下胃管鼻饲,既可提供充分营养,又可避免呛咳和吸入异物.(4)对已发生感染者除以上措施外,按医嘱给予抗生素治疗.(5)及时吸出口腔和气管内分泌物,或呕吐的胃内容物,必要时做气管切开.2,预防肺部感染和坠积性肺炎(1)保持呼吸道通畅,分泌物多时要及时吸痰,吸痰用物要严格消毒,特别是为气管切开病人护理时,要严格无菌操作.并每2-3小时翻身拍背1次,协助排痰.(2)保持鼻,口腔清洁,及时清除鼻腔分泌物和结痂,认真做好口腔护理.(3)若肺部已有感染或肺不张,可给予雾化吸入及全身应用抗生素.3,预防褥疮患者意识丧失,处于被动体位,长期皮肤受压,循环欠佳,加之汗尿等排泄物对皮肤刺激等,导致局部皮肤抵抗力降低,以及床单不平或床铺不清洁而使之发生褥疮.所以,必须注意皮肤护理,做到勤翻身,勤检查,勤擦洗,勤按摩,勤整理,勤交待.4,预防泌尿系感染昏迷常伴有尿潴留和大小便失禁,尿潴留本身易伴发泌尿系感染,经常导尿更容易引起感染.护理时应注意:(1)要注意病人的膀胱充盈度,尽早导尿,尿失禁者要及时更换尿布,擦洗干净会阴,防止尿液中化学成分及潮湿对皮肤的刺激.(2)导尿和留置导尿应严格无菌操作,定时膀胱冲洗.(3)对已发生感染者除加强冲洗外,全身给予高效,足量的抗生素,多补充水分,促进排泄,有利于控制感染.(4)加强膀胱肌功能锻炼定时开放尿管,夹紧尿管,每1-3小时放尿一次,并逐渐延长时间,在膀胱空虚时按摩.。

祝早日康复!脑水肿注意事项回答者:whaik这个情况必须注意积极的降颅内压的.同时注意必要清淡饮食调理.颅骨骨折,脑出血,脑水肿病人的术后恢复?回答者:姚宇军现在的情况处于恢复期,但是不算苏醒,苏醒的标志是神志清醒。
1..勤拍背,预防坠积性肺炎,勤翻身,或下身垫气垫,预防褥疮。 勤活动下肢,防止下肢静脉血栓,肺栓塞。
2. 进行四肢的按摩,避免肌肉萎缩3.如果有尿管保留,要定时开放,超过三天要每天冲洗膀胱,避免泌尿系感染脑水肿能否引起呕吐,咳嗽。颅外伤引起的脑水肿回答者:姚新太您好;建议积极治疗原发病,同时对症治疗,必要时白蛋白治疗脑水肿,脑有一点血块引起的嘴歪严重吗回答者:吕丁锁这种情况考虑问题不算严重,建议积极配合主治大夫保守治疗。
肺癌转移现为脑水肿有何中药治疗?回答者:苏振超你好,建议住院观察,遵医嘱治疗目前缺血缺氧性脑水肿回答者:范伟婷你好,这种情况建议先营养脑细胞治疗三个疗程看看再说吧。
首先我们应该尽心呵护小宝宝,给小宝宝营造一个优越的环境,条件如下:室温保持在18~21℃,湿度55%为宜,定时通风换气,保持病房空气流通,为宝宝提供一个安静、整洁、舒适、安全的治疗康复环境。
其次,我们在饮食上也应该给与充分的关注,饮食也是一个让宝宝尽快康复的重要方面,给宝宝的饮食应易开脑窍、通经络、健脾益肾、填精益脑、强身易消化的食物为主。最后,我们就该谈谈心态的问题了,心态对于疾病的治疗是一个不可忽略的因素,有一个良好的心态对待宝宝,宝宝已经很痛苦了,我们一定要以一个良好的心态去对抗病魔,这样才能更好的恢复。
注意孩子病情如果有加重的倾向就要及时就医。

声明:本网站尊重并保护知识产权,根据《信息网络传播权保护条例》,如果我们转载的作品侵犯了您的权利,请在一个月内通知我们,我们会及时删除。
蜀ICP备2020033479号-4 Copyright © 2016 学习鸟. 页面生成时间:3.765秒